診療科のご案内

Clinical Departments

整形外科

令和6年4月より、整形外科診療を再開致しました。
整形外科は運動器の疾患を扱う診療科です。スポーツ障害や交通外傷、労働災害などに代表される打撲、捻挫、骨折などの外傷は勿論のこと、変形性変化を伴う加齢疾患、骨粗鬆症、関節リウマチ、痛風、運動器の腫瘍など、幅広い患者層を扱います。
症状でお悩みでしたらお気軽にご相談ください。

※緊急時、診察ご希望の方はお電話にてお問い合わせください。

整形外科 診療時間

午前 午後
9:00 - 13:00 14:00 - 17:00

午前の最終受付時間は、12:30までとなります。

午後の最終受付時間は、16:30までとなります。

月曜日午後は、手術日となっていますので、受診希望の方は事前にお電話にてお問い合わせください。

整形外科 担当医表

午前 押領司 - 中村 中谷 - - -
午後 手術 - - 中谷 - - -
押領司 将人 医師

押領司 将人 医師

中谷 公彦 医師

中谷 公彦 医師

手術について

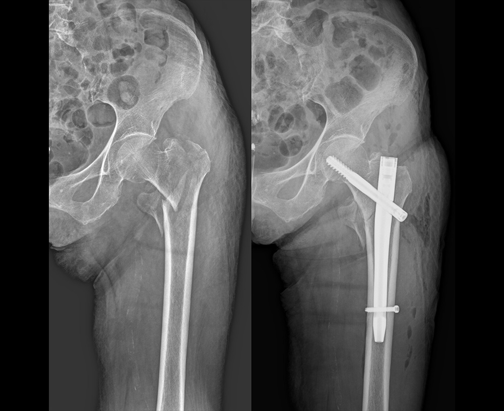
高齢者の方々によく起こる大腿骨頚部骨折(図1・図2)、肩から上腕の骨折(図3)、手関節周囲の骨折(図4)、人工膝関節置換術(図5)などの手術を行っております。

人工骨頭挿入術

図1:人工骨頭挿入術

骨折観血的手術

図2:骨折観血的手術

骨折観血的手術折

図3:骨折観血的手術折

骨折経皮的銅線刺入固定

図4:骨折経皮的銅線刺入固定